Gigi Bungsu Perlu Dicabut?

Gigi bungsu sering kali tumbuh tidak sempurna atau miring, menyebabkan rasa nyeri, bengkak, hingga infeksi di area sekitar gusi. Kondisi ini disebut impaksi gigi bungsu dan membutuhkan tindakan profesional agar tidak menimbulkan komplikasi serius di kemudian hari.
Di Serra Clinic, kami menyediakan layanan pencabutan gigi bungsu / impaksi yang dilakukan secara aman, nyaman, dan menggunakan teknologi modern.


Mengapa Gigi Bungsu Perlu Dicabut?

Gigi bungsu yang tumbuh tidak sempurna dapat menimbulkan berbagai masalah kesehatan mulut seperti:

  • Nyeri berulang di bagian belakang rahang
  • Gusi bengkak atau infeksi
  • Bau mulut akibat penumpukan bakteri
  • Kerusakan gigi di sebelahnya karena tekanan gigi bungsu
  • Kesulitan membuka mulut atau mengunyah

Pencabutan dini oleh dokter gigi profesional dapat mencegah rasa sakit yang lebih parah dan menjaga kesehatan mulut Anda secara menyeluruh.


Kelebihan Pencabutan Gigi Bungsu di Serra Clinic

  • Pemeriksaan Mendalam: Kami melakukan pemeriksaan dengan X-ray untuk memastikan posisi dan kondisi gigi bungsu secara akurat.
  • Tindakan Aman & Nyaman: Prosedur dilakukan oleh dokter berpengalaman dengan anestesi lokal agar pasien tidak merasakan nyeri berlebih.
  • Pemulihan Cepat: Dengan teknik minimal invasif, proses penyembuhan lebih cepat dan minim risiko bengkak.
  • Edukasi Pasien: Dokter akan memberikan panduan lengkap tentang perawatan pasca pencabutan agar pemulihan optimal.

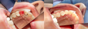
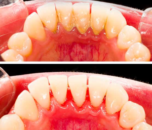
Sebelum & Sesudah Tindakan (Before – After)

Sumber: https://santarosaoralsurgery.com/wp-content/uploads/2021/08/santa-rosa-impaction-bracketing-1.jpeg


Perawatan Setelah Pencabutan Gigi Bungsu

Untuk mempercepat pemulihan, berikut beberapa hal yang disarankan oleh tim dokter Serra Clinic:

  • Hindari makan makanan keras selama 2–3 hari pertama
  • Gunakan kompres dingin untuk mengurangi bengkak
  • Jangan berkumur terlalu kuat dalam 24 jam pertama
  • Minum obat sesuai resep dokter
  • Datang untuk kontrol sesuai jadwal yang dianjurkan

Kapan Harus ke Dokter?

Segera konsultasikan ke dokter jika Anda mengalami:

  • Nyeri di bagian belakang rahang
  • Bengkak di gusi atau wajah
  • Kesulitan membuka mulut
  • Muncul rasa tidak nyaman di gigi belakang bawah atau atas

Penanganan dini dapat mencegah komplikasi seperti abses, infeksi, atau kerusakan gigi di sekitarnya.


Pemeriksaan Gigi Bungsu di Serra Clinic

Serra Clinic memahami bahwa setiap pasien memiliki kondisi berbeda. Oleh karena itu, kami menawarkan pemeriksaan menyeluruh dengan teknologi digital untuk memastikan diagnosis yang tepat dan rencana tindakan yang aman.
Dengan dukungan dokter gigi berpengalaman dan fasilitas lengkap, proses pencabutan berjalan nyaman tanpa rasa takut.


Segera Jadwalkan Pemeriksaan Anda di Serra Clinic!

Jangan biarkan nyeri gigi bungsu mengganggu aktivitas harian Anda.
Hubungi Serra Clinic hari ini untuk konsultasi dan pemeriksaan profesional.
Tim kami siap membantu Anda mendapatkan solusi terbaik untuk kesehatan gigi dan mulut Anda.

Share your love

Newsletter Updates

Enter your email address below and subscribe to our newsletter